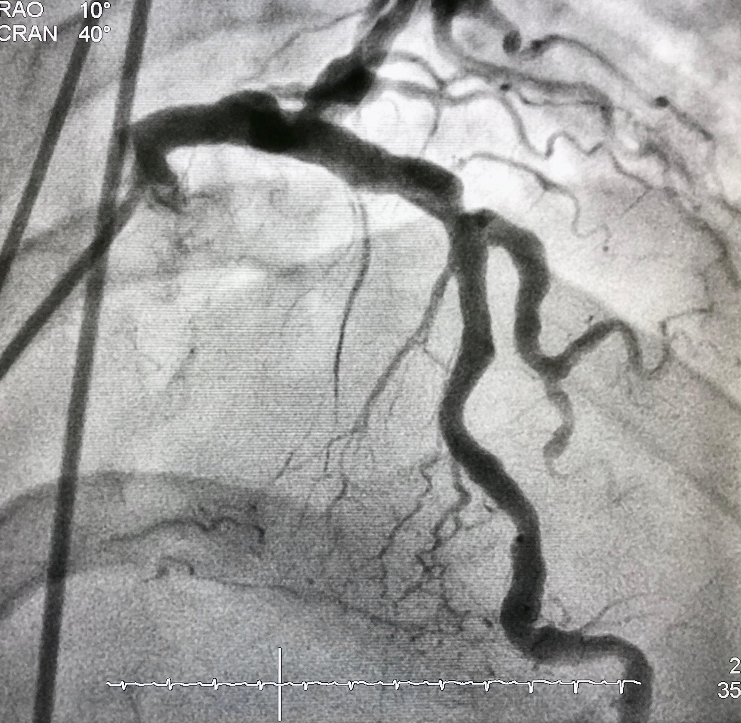
A verőerek a tüdőben oxigénnel frissen telítődött vér útját biztosítják a szervek, szövetek felé. Beszűkülésük, elzáródásuk az ellátott szerv, szövet károsodását, elhalását okozhatja, ennek megfelelő tünetek kíséretében. Például a nyaki verőerek beszűkülése, elzáródása az agy vérkeringését rontja, következményes idegrendszeri tünetekkel: bénulás, beszéd-, látászavar, érzés és mozgás kiesés. Az alsó végtagok ereinek károsodása, az izmok vérellátásának csökkenése a járástávolságot korlátozhatja, úgynevezett „kirakatnéző betegséget” okozva, súlyosabb esetben elhaláshoz, üszkösödéshez vezethet. Az érszűkület oka leggyakrabban a dohányzás, a zsíranyagcsere zavara, gyulladásos folyamat, örökletes tényezők, esetleg cukorbetegség, vagy más pl. a vér alvadékonyságát befolyásoló megbetegedés. Az eredeti ok nem mindig határozható meg pontosan. A tüneteket számbavéve, a beteget fizikálisan és speciális eszközökkel megvizsgálva azonban a károsodott érszakasz beazonosítható és eldönthető a hatékony kezelés módja.
Ez lehet úgynevezett konzervatív terápia: gyógyszerek alkalmazása, életmódbeli változtatások, esetleg fizikoterápia, vagy valamilyen, a vérkeringést azonnal javító beavatkozás: műtét, katéteres értágítás/megnyitás. Azt, hogy melyik megoldás választandó, a vizsgálatok eredménye alapján dönthetjük el. Az első fázis, az ambuláns fizikális és eszközös diagnosztika, Doppler, Color Duplex Ultrahang, áramlási sebesség-, szöveti oxigenizáció mérés után bonyolultabb képalkotó eljárások pl. katéteres érfestés, CT esetleg MR is szükségessé válhatnak a megfelelő döntés meghozatalához. Ezek a vizsgálatok azonban Magyarországon az állami egészségügyben érhetőek el TB finanszírozottan, mint ahogy a műtéti és katéteres beavatkozások is itt és ilyen módon történnek. Ebben a fázisban a magyar állampolgároknak a betegirányításban tudunk segítséget nyújtani. A külföldi állampolgárok számára ezek fizetős jellegűek. Érsebész kollégáink a számukra biztosított hivatalos úton, közvetlenül tudnak segítséget nyújtani a megfelelő ellátó intézetben.
A verőerek betegségeinek másik csoportja szintén az érfal károsodására vezethető vissza, de nem beszűküléssel, hanem éppenhogy kitágulással jár. Ezt aneurizmának nevezzük. Itt nem a vérellátás csökkenése jelenti az elsődleges veszélyt, problémát, hanem a megrepedés és a következményes vérzés. Természetesen ez esetben is kialakulhat a keringés jellegének megváltozása miatt véralvadék, elzáródás az érben. Ez már az érszűkületnek megfelelő tünetek kialakulásához vezethet. Az értágulatok kivizsgálása és kezelése is a fenti lépések sorrendjének megfelelően történhet.
Érszűkület/ tágulat gyanúja esetén, vagy a családban előforduló ilyen jellegű megbetegedés miatti aggodalom okán bizalommal fordulhat hozzánk. Szakorvos kollégáink mindent megtesznek az egészsége megóvása, helyreállítása érdekében.
A felhasználói élmény javítása érdekében sütiket (cookie) használunk bizonyos adatok (pl. eszközinformációk, egyedi azonosítók) tárolására. Hozzájárulásával engedélyezi, hogy ezeket az adatokat kezeljük. Ha nem járul hozzá a sütik kezeléséhez, néhány funkció nem vagy nem megfelelően működhet az oldalon.
“A legfontosabb pillanat az életünkben: Az, melyet éppen megélünk.
A legfontosabb ember az életünkben: Aki éppen előttünk áll.
A legfontosabb érzés pedig a szeretet.”
Minden egészségügyi ellátásnak az a célja, hogy a páciens problémáját a lehető legjobban sikerüljön megoldani, azaz a beavatkozás a lehető leggyorsabb felépülési idővel, a lehető legkisebb fájdalommal, a lehető legjobb eredménnyel, a lehető legkisebb kiújulási eséllyel záruljon. Ennek két legfontosabb tényezője: az orvos és a páciens.
A beavatkozás – könnyű belátni – akkor sikerül a legjobban, ha a beavatkozás időpontjára mindkét oldal a lehető legmagasabb szinten felkészül. Klinikánk fejlesztésében, munkatársaink megválasztásában, képzéseinkben, eszközeink beszerzésében mindenkor azt tartjuk szem előtt, hogy az elérhető legújabb eszközökkel, a legjobban képzett munkatársakkal gyógyítsuk pácienseinket.
A másik legfontosabb tényező a páciens, azaz az Ön együttműködése. Minden ember különböző fizikai, mentális állapotban, különböző társbetegségekkel, különböző típusú problémákkal érkezik hozzánk, ezért fontos hogy személyre szabottan átbeszéljük, pontosan hogyan kell felkészülni egy beavatkozásra, mit lehet és nem lehet például műtét, vagy lézeres kezelés után csinálni. Ezért fontos része a sikernek, hogy a vizsgálatot, vagy beavatkozást követően Ön megfogadja javaslatainkat, tanácsainkat.
Az eddigiekben leírtak igazak lehetnek bármilyen szolgáltatásra. A mai idők azt sugallják, hogy akár az egészségügy, vagy az egészség is csak egy megvásárolható „szolgáltatás”, ahol kereslet, kínálat, eredmény, és pénz határozzák meg a dolgok működését.
Az orvos-beteg kapcsolatban azonban van egy többlet, hiszen amikor valaki úgy dönt, hogy egy orvossal megvizsgáltatja, vagy megoperáltatja magát, akkor egy szerződés köttetik közöttük. Ez nem csak eredményekről, kockázatról, árról, hanem legfőképpen egy kimondatlan dologról, a bizalomról szól, hiszen a beteg legnagyobb kincsét, az egészségét bízza ránk.
A páciens megengedi az orvosnak, hogy megérintse például a lábát – amit bárkinek nem engedünk meg- vagy éppen bizalmas információkat oszt meg magáról.
Az orvos pedig tiszteletben tartja páciense kéréseit, őrzi titkait, próbálja panaszait megoldani, segíteni Őt a gyógyulásban. Ez tehát nem lehet csak egyoldalú „szolgáltatás”, ehhez két Ember kell. Ez az emberi kapocs az, ami egy ilyen szokatlan helyzetben átsegíti a pácienst az akadályokon, az ijedtségen, a félelmen, a kellemetlen pillanatokon. Ez a bizalom az, ami az orvoslásnak azt a részét adja amiért igazából szeretjük, hiszen így közös a sikerünk. A bizalom nem megvásárolható, ugyanakkor nehezen megszerezhető érzés, de mi őszintén törekszünk arra, hogy ezt kiérdemeljük. Ezért tőlünk senki sem távozhat úgy, hogy azt érezze cserben hagyták, vagy megválaszolatlan kérdése maradt.
Üdvözlettel:
A VeinStream Klinika csapata